testata Forum Natura Mediterraneo
Forum | Registrati | Msg attivi | Msg Recenti | Msg Pvt | Utenti | Galleria | Map | Gadgets | Cerca | | FAQ | Regole |NUOVA Tassonomia | Pagina Facebook di Natura Mediterraneo | Google+
Suggerimento: L'iscrizione al nostro Forum è gratuita e permette di accedere a tutte le discussioni.
Cerca
Salva
Password dimenticata

 Galleria Tassonomica
 di Natura Mediterraneo
 



 Tutti i Forum
 Forum Myxomyceti - Natura Mediterraneo
 MYXOMYCETI
 Badhamia foliicola??
 Nuova Discussione
 Versione Stampabile my nm Leggi più tardi
I seguenti utenti stanno leggendo questo Forum Qui c'è:
Autore Discussione Precedente Discussione Discussione Successiva  

Zissis Antonopoulos
Utente V.I.P.

Città: THESSALONIKI

Regione: Greece


239 Messaggi
Tutti i Forum

Inserito il - 01 marzo 2014 : 20:07:30 Mostra Profilo  Apri la Finestra di Tassonomia

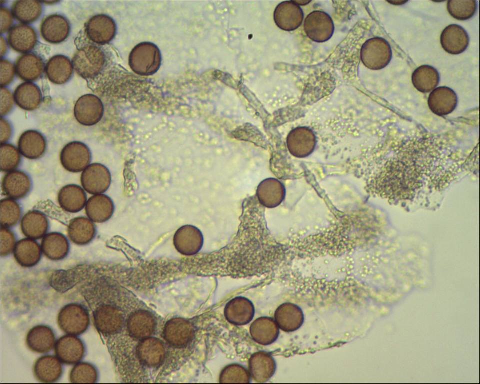
Ciao amici! un myxomycete non identificato, trovato dal mio amico Giannis Karagkiozis. Trovato novembre 2013. Le spore (9.5) 10-11. Forse Badhamia foliicola? cosa ne pensi?
Immagine:
Badhamia foliicola??
88,74 KB
Immagine:
Badhamia foliicola??
98,33 KB
Immagine:
Badhamia foliicola??
68,53 KB
Immagine:
Badhamia foliicola??
82,1 KB
Immagine:
Badhamia foliicola??
57,2 KB
Immagine:
Badhamia foliicola??
95,36 KB
Immagine:
Badhamia foliicola??
54,54 KB
Immagine:
Badhamia foliicola??
85,62 KB

Z.A.

franco
Utente Senior

Città: Trieste
Prov.: Trieste

Regione: Friuli-Venezia Giulia


784 Messaggi
Micologia

Inserito il - 02 marzo 2014 : 09:34:17 Mostra Profilo Apri la Finestra di Tassonomia
ciao a tutti,

una foto non appartiene alla serie

le prime due foto tappresentano Physarum cinereum

la terza potrebbe rappresentareun Physarum o anche un Craterium

Servirebbe microscopia della sezione longitudinale a basso ingrandimento

La microscopia postata è tipica di Physarum cinereum che non ha gambo

a presto


Franco
Torna all'inizio della Pagina

Zissis Antonopoulos
Utente V.I.P.

Città: THESSALONIKI

Regione: Greece


239 Messaggi
Tutti i Forum

Inserito il - 02 marzo 2014 : 18:08:23 Mostra Profilo Apri la Finestra di Tassonomia
sì caro Franco, la terza fotografia rappresenta forse un'altra specie. Grazie per la tua opinione!

Z.A.
Torna all'inizio della Pagina
  Discussione Precedente Discussione Discussione Successiva  
 Nuova Discussione
 Versione Stampabile my nm Leggi più tardi
Scorciatoia






Natura Mediterraneo © 2003-2024 Natura Mediterraneo Torna all'inizio della Pagina
Questa pagina è stata generata in 0,9 secondi. TargatoNA.it | Movie BackStage | Snitz Forums 2000

Leps.it | Herp.it | Lynkos.net