|
|
|
|
|
Galleria Tassonomica di
Natura Mediterraneo
|
|
|
| Autore |
Discussione  |
|
|
Fomes
Moderatore
    
Città: Prov. Milano
5273 Messaggi Tutti i Forum |
|
|
Fomes
Moderatore
    
Città: Prov. Milano
5273 Messaggi Tutti i Forum |
Inserito il - 13 settembre 2009 : 21:31:16
|
Immagine:
270,81 KB |
 |
|
|
Fomes
Moderatore
    
Città: Prov. Milano
5273 Messaggi Tutti i Forum |
Inserito il - 13 settembre 2009 : 21:33:29
|
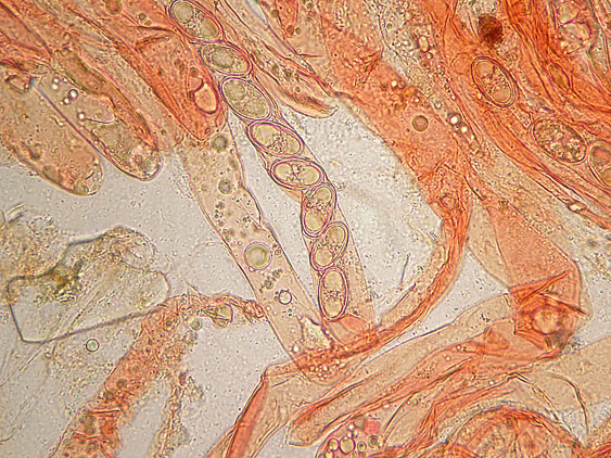
Aschi e spore in rosso Congo
Immagine:
195,82 KB
Immagine:
128,67 KB
Immagine:
203,48 KB |
 |
|
|
Fomes
Moderatore
    
Città: Prov. Milano
5273 Messaggi Tutti i Forum |
Inserito il - 13 settembre 2009 : 21:35:58
|
Aschi e spore in Melzer
Immagine:
182,48 KB
Immagine:
177,59 KB
Immagine:
120,58 KB
Immagine:
101,16 KB |
 |
|
|
Andrea
Utente Senior
   

Città: ROMA
Prov.: Roma
Regione: Lazio
2764 Messaggi Tutti i Forum |
Inserito il - 15 settembre 2009 : 10:06:45
|
Salute Renato,
purtroppo non riesco a dare un contributo al tuo interrogativo. Però la tua indagine micorscopica, complice la "fotogenicità" del soggetto, è davvero esagerata per nitidezza e contrasto.
I miei più sinceri complimenti, più in generale, per come hai presentato questo ritrovamento.
P.s. Nel titolo, ti è "scappata" una n di troppo che purtroppo non riesco a modificare...
Andrea
Omnia mutantur
|
 |
|
|
Fomes
Moderatore
    
Città: Prov. Milano
5273 Messaggi Tutti i Forum |
Inserito il - 15 settembre 2009 : 14:46:45
|
Ciao Andrea, ti ringrazio per gli apprezzamenti. Ho provveduto alla correzione del titolo.
 Fomes |
 |
|
|
carlo2
Utente V.I.P.
  
Città: casalpusterlengo
Prov.: Lodi
Regione: Lombardia
310 Messaggi Tutti i Forum |
Inserito il - 08 gennaio 2010 : 20:23:00
|
personalmente non escluderei la babingtonii ciao carlo
carlo2 |
 |
|
|
Fomes
Moderatore
    
Città: Prov. Milano
5273 Messaggi Tutti i Forum |
Inserito il - 09 gennaio 2010 : 11:20:04
|
Ciao Carlo, Avevo ipotizzato Pachyella lazzariana piuttosto che P.babingtonii per i seguenti motivi: -Crescita su legno deteriorato di Abies alba; -Probabile superficie inferiore di colore chiaro; -Spore quasi sicuramente lisce; -Aschi lunghi anche 400 µm.
 Fomes |
 |
|
|
carlo2
Utente V.I.P.
  
Città: casalpusterlengo
Prov.: Lodi
Regione: Lombardia
310 Messaggi Tutti i Forum |
Inserito il - 09 gennaio 2010 : 20:32:28
|
Fomes probabilmente hai perfettamente ragione tieni presente poi che io sono veramente inesperto mi sono permesso di avanzare l'ipotesi babingtonii perchè in letteratura la lazzariana dovrebbe presentare la superfice esterna biancastra cosa non molto evidente nel fotocolor,comunque resto piacevolmente sorpreso per l'attenzione che prestate alle altrui opinioni cordiali salutoni ciao carlo.
carlo2 |
 |
|
|
Bepus
Utente Senior
   

Città: Varese
Prov.: Varese
Regione: Lombardia
1402 Messaggi Micologia |
Inserito il - 18 febbraio 2010 : 02:43:11
|
Ciao a tutti, io ci vedo bene P. violaceonigra, trovata in habitat simile nel 2004
Immagine:
278,08 KB
Immagine:
278,19 KB |
 |
|
|
Batman
Moderatore
   

Città: Arezzo
Prov.: Arezzo
Regione: Toscana
3594 Messaggi Micologia |
Inserito il - 18 febbraio 2010 : 09:14:28
|
Ciao Beppe, la determinazione di Pachyella lazzariana da Parte di Fomes secondo me è ben centrata, perchè: ha habitus, habitat e microscopia corrispondente (soprattutto spore lisce ed aschi molto lunghi). Batman
|
 |
|
| |
Discussione  |
|
|
|
Natura Mediterraneo |
© 2003-2024 Natura Mediterraneo |
 |
|
Leps.it | Herp.it | Lynkos.net
|