|
|
|
|
|
Galleria Tassonomica di
Natura Mediterraneo
|
|
|
| Autore |
Discussione  |
|
|
Narkan
Utente nuovo
Città: Firenze
2 Messaggi Tutti i Forum |
Inserito il - 16 giugno 2015 : 21:04:34
|
Bentrovati! Mi sono deciso a registrarmi al forum dopo un po' di "browsing" anonimo con lo scopo di chiedere alcuni consigli riguardo alla microfotografia. Sono un medico e mi dedico all'osservazione prevalente di preparati citologici, dunque ho scelto questo forum per maggiore affinità (sperando di non essere caduto in equivoco).
Sono possessore di un microscopio trinoculare Zeiss Primo Star corredato da sistema Kohler, illuminazione alogena/led intercambiabili e revolver con ottiche 4x, 10x, 40x e 100x(oil).
I miei tentativi di microfotografia sono attualmente con una Nikon D800 connessa mediante l'adattatore Zeiss "dedicato" (P95-T2 1,6x). Purtroppo, ho notato un'estrema difficoltà nell'ottenere una buona qualità di immagine, che imputo prevalentemente alla presenza massiccia di "shutter blur" dovuto ai movimenti dello specchio e dell'otturatore in fase di scatto. Su una macchina pesante come la D800, evidentemente, nè le opzioni Mirror-Up nè l'opzione di Exposure Delay paiono arginare completamente questo inconveniente. Dai miei "esperimenti" ho realizzato che la velocità di scatto minima da mantenere per non avere un risultato completamente inutilizzabile è di circa 1/1000 di secondo, che spesso mi costringe a salire in ISO.
Ora vi chiedo: dotandomi di una fotocamera mirrorless micro 4/3 (es Olympus PEN e similari) riuscirei ad ottenere risultati migliori grazie all'assenza dei movimenti dello specchio ed al ridotto peso dell'apparecchio? Oppure mi conviene valutare altri sistemi come le foto/videocamere dedicate da microscopia (ho visto dei modelli interessanti marchiati Optika e Motic)? Ulteriore domanda: quale illuminazione tra led ed alogena risulta migliore per la microfotografia?
Un grande ringraziamento anticipato a chi vorrà intervenire.
|
|
|
sapiens
Utente Senior
   
Città: valeggio sul mincio VR
1344 Messaggi Tutti i Forum |
Inserito il - 18 giugno 2015 : 23:41:40
|
Gli esperti latitano e per tua sfortuna io non sono un esperto  Ti posso solo dire che magari potresti postare le foto incriminate per avere conferma che si tratti di quel problema e aspettare che poi qualcuno risponda (ci vuol pazienza) Personalmente non ho mai usato reflex, perché non l'ho ancora comperata (ma un giorno!). La reflex si usa per avere foto al top, di quello che vedi. Con le fotocamere dedicate, che io uso, si fanno belle foto ma con dei limiti di definizione (anche trascurabili) e rese di colori e luce a volte non proprio corrispondenti ma in linea di massima si fanno belle foto (con soggetti fermi). Io uso ora una optikam da 5mp (la b5 se non erro) e ne son contento, sempre pronta, molto sensibile alla luce (quasi troppo a volte)...unica cosa un po' lenta e quindi i soggetti in movimento sono un problema. ma non è male a mio parere.....
Ciao |
La vita non è un gran che ma è sempre meglio di quella dei protozoi (e delle api) Link |
 |
|
|
marcopic
Moderatore
   

Città: Padova
Prov.: Padova
Regione: Veneto
1865 Messaggi Flora e Fauna |
Inserito il - 19 giugno 2015 : 09:32:13
|
Anch'io non sono un esperto di tecnica fotografica al microscopio (mi dedico molto di più all'osservazione e riconoscimento di campioni biologici da buon "biologo" come sono io).
Ad ogni modo devo pur sempre immortalare le mie osservazioni e lo faccio in un duplice modo:
- con una telecamera digitale MOTICAM 1000 da 2 Megapixel
- con una telecamera analogica EUROMEX
e queste sono le mie valutazioni. Per usare bene una digitale serve un PC a cui collegarla di elevate prestazioni in termini ci CPU e grafica. Quando la abbino al mio portatile (CPU Intel i3 e scheda grafica dedicata ATI Mobility Radeon) il refresh viaggia al di sotto di 2 frame al secondo, cioè è praticamente ferma. Quindi per fare video non va assolutamente bene. Trova invece buona applicazione nelle foto e nel post-produzione, quando cioè si vogliono prendere misure (di lunghezza e di area) del campione: è tutto automatico. Purtroppo la mia Moticam ha dato sempre un fastidiosissimo problema di bande orizzontali che si muovono dall'alto verso il basso, soprattutto a bassi ingrandimenti; sembra che ciò sia legato ad un problema di frequenza della rete elettrica. Per quanto riguarda invece il modello EUROMEX non ho alcun rilievo da fare. Certo la qualità delle foto non è spettacolare, ma mi accontento. Inoltre riesco a fare degli ottimi video. Avrei voluto attaccare al terzo tubo la mia fotocamera reflex digitale CANON EOS 400d, ma gli adattatori costano non poco e allora ho lasciato finora perdere.
Spero che tutto ciò ti sia utile per le tue valutazioni... e benvenuto in questo forum! 
|
Ciao Marco |
 |
|
|
Piermicro2
Utente V.I.P.
  
Città: Treavedona Monate
Prov.: Varese
Regione: Lombardia
146 Messaggi Tutti i Forum |
Inserito il - 19 giugno 2015 : 10:59:27
|
Caro collega, la D800 è forse il massimo che si possa usare su un micro; ha pure l'otturatore elettronico il quale riduce le vibrazioni della tendina. La macchina non dovrebbe essere sostenuta dal micro ma da una colonna specificamente studiata per lo scopo.(fotomicroscopia) In questo modo il raccordo camera micro non deve toccare, inoltre deve essere montato in modo che non passi luce nel tubo ottico. Un ottimo articolo a questo riguardo è illustrato da Charles Krebs,uno dei migliori microscopisti del momento. Critica può essere la parafocalità tra visione oculare e sensore camera. Anche questo problema è ben trattato da Krebs. In campo strettamente istologico non ti serve il flash, e i tempi di otturazione più comuni vanno da 1/60 a 1 secondo. Per arrivare ad una buona qualità fotografica occore lavorare MOLTO. Ciao. |
|
 |
|
|
Narkan
Utente nuovo
Città: Firenze
2 Messaggi Tutti i Forum |
Inserito il - 19 giugno 2015 : 13:02:15
|
Buongiorno ed un ringraziamento a tutti per i suggerimenti fino ad adesso. Sicuramente "studierò" gli scritti di Krebs, anche se la mia condizione attuale mi impedisce di poter stabilizzare la camera su una colonna separata dal microscopio.
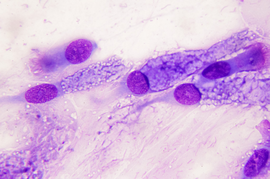
Vi posto una foto selezionata tra i risultati che sto ottenendo con il raccordo originale Zeiss che ho menzionato sopra. La prima foto è ottenuta con una D300, la seconda con una D800. Il campione è uno striscio citologico nasale colorato con May-Grunwald-Giemsa
Immagine:
264,8 KB
Immagine:
266,32 KB |
|
 |
|
|
Piermicro2
Utente V.I.P.
  
Città: Treavedona Monate
Prov.: Varese
Regione: Lombardia
146 Messaggi Tutti i Forum |
Inserito il - 19 giugno 2015 : 15:57:04
|
Direi che la qualità delle immagini istologiche rispondono a una sufficente rischiesta anatomo patologica per uso clinico.
 |
|
 |
|
|
marcopic
Moderatore
   

Città: Padova
Prov.: Padova
Regione: Veneto
1865 Messaggi Flora e Fauna |
Inserito il - 19 giugno 2015 : 20:04:41
|
| Messaggio originario di Narkan: Il campione è uno striscio citologico nasale colorato con May-Grunwald-Giemsa
|
Il colorante è per il DNA o per altro? Credo di averne anch'io in un flacone un po' datato, ma non l'ho mai provato. |
Ciao Marco |
 |
|
| |
Discussione  |
|
|
|
Natura Mediterraneo |
© 2003-2024 Natura Mediterraneo |
 |
|
Leps.it | Herp.it | Lynkos.net
|