|
|
|
|
|
Galleria Tassonomica di
Natura Mediterraneo
|
|
|
| Autore |
Discussione  |
|
|
ubi
Utente Senior
   
Città: popoli
Prov.: Pescara
Regione: Abruzzo
2139 Messaggi Micologia |
Inserito il - 07 marzo 2014 : 21:29:21
Ordine: Polyporales Famiglia: Fomitopsidaceae Genere: Postia Specie:Postia leucomallella
|
Oligoporus leucomallellus
Basidiomi pileati, isolati, imbricati e fusi lateralmente, di consistenza molto soffice, lunghi 10-35mm., spessi fino a 10 mm.; superficie sterile con sottile peluria appressata , inizialmente si presentano di colore biancastro, poi divengono ocraceo brunastri più scuri con lessiccamento; orlo biancastro. Tubuli lunghi fino a 8 mm., biancastri così pure il contesto che misura fino a 2,5 mm. Pori angolosi, 3-5 x mm., di colore biancastro, poi crema. Tutto il basidioma se sollecitato a pressione non vira di colore. Habitat: Avezzano, pineta ex campo di concentramento, su ceppo di pino nero, 5.3.14. Spore allantoidi, ialine lisce, con pareti sottili, reazione negativa col Melzer, 4,05(4,54-4,85)5,34 x 0,94(1,38 1,67)2,07 µ. Me = 4,69 x 1,51 µ. Q = 2,21(2,96-3,42)4,16, Qe = 3,19. Basidi tetrasporici con lunghi sterigmi, 13,78-15,24x4,18-4,31µ Gleocistidi di forma variabile, da clavati a birilliformi , 27,45-39,46 x 7.91-8,65 µ Sistema monomitico , con ife ialine 2,5-4,4 µ, presenza di GAF. Osservate alcune ife gloeoplere. Immagine:
34,77 KB
|
Modificato da - Aphyllo in Data 08 marzo 2014 23:56:44
|
|
|
ubi
Utente Senior
   
Città: popoli
Prov.: Pescara
Regione: Abruzzo
2139 Messaggi Micologia |
Inserito il - 07 marzo 2014 : 21:30:05
|
Immagine:
29,12 KB |
|
 |
|
|
ubi
Utente Senior
   
Città: popoli
Prov.: Pescara
Regione: Abruzzo
2139 Messaggi Micologia |
Inserito il - 07 marzo 2014 : 21:31:05
|
Immagine:
16,09 KB |
|
 |
|
|
ubi
Utente Senior
   
Città: popoli
Prov.: Pescara
Regione: Abruzzo
2139 Messaggi Micologia |
Inserito il - 07 marzo 2014 : 21:32:19
|
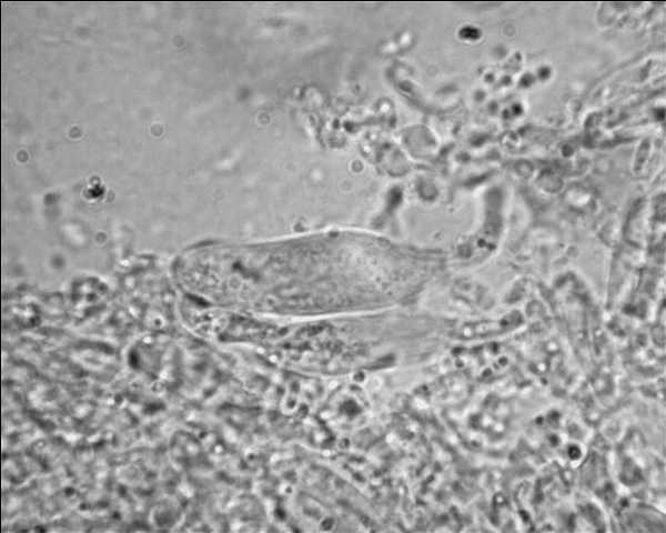
spore Immagine:
28,79 KB |
|
 |
|
|
ubi
Utente Senior
   
Città: popoli
Prov.: Pescara
Regione: Abruzzo
2139 Messaggi Micologia |
Inserito il - 07 marzo 2014 : 21:33:43
|
basiidi Immagine:
25,98 KB |
|
 |
|
|
ubi
Utente Senior
   
Città: popoli
Prov.: Pescara
Regione: Abruzzo
2139 Messaggi Micologia |
Inserito il - 07 marzo 2014 : 21:34:42
|
imenio Immagine:
36,69 KB |
|
 |
|
|
ubi
Utente Senior
   
Città: popoli
Prov.: Pescara
Regione: Abruzzo
2139 Messaggi Micologia |
Inserito il - 07 marzo 2014 : 21:35:49
|
gleocistidi Immagine:
30,42 KB |
|
 |
|
|
ubi
Utente Senior
   
Città: popoli
Prov.: Pescara
Regione: Abruzzo
2139 Messaggi Micologia |
Inserito il - 07 marzo 2014 : 21:36:41
|
gleocistidi Immagine:
19,5 KB |
|
 |
|
|
ubi
Utente Senior
   
Città: popoli
Prov.: Pescara
Regione: Abruzzo
2139 Messaggi Micologia |
Inserito il - 07 marzo 2014 : 21:39:43
|
cuticola Immagine:
24,44 KB |
|
 |
|
|
Aphyllo
Moderatore
    
Città: firenze
Prov.: Firenze
Regione: Toscana
9113 Messaggi Micologia |
Inserito il - 07 marzo 2014 : 23:41:30
|
| Le tue conclusioni mi sembrano impeccabili, complimenti per la bella analisi! |
 |
|
|
ubi
Utente Senior
   
Città: popoli
Prov.: Pescara
Regione: Abruzzo
2139 Messaggi Micologia |
Inserito il - 08 marzo 2014 : 07:51:12
|
Grazie Marco, al prossimo post. Ubaldo. |
|
 |
|
|
Annarosa
Moderatore
   
Città: bologna
Prov.: Bologna
Regione: Emilia Romagna
1027 Messaggi Tutti i Forum |
Inserito il - 08 marzo 2014 : 22:15:37
|
| Si, hai fatto vedere tutte le strutture che caratterizzano questa specie. |
annarosa bernicchia |
 |
|
|
ubi
Utente Senior
   
Città: popoli
Prov.: Pescara
Regione: Abruzzo
2139 Messaggi Micologia |
Inserito il - 08 marzo 2014 : 23:49:59
|
| Messaggio originario di Annarosa:
Si, hai fatto vedere tutte le strutture che caratterizzano questa specie.
|
Senza la guida del tuo testo sulle Polyporaceae, non saprei cosa guardare. Grazie, Ubaldo. |
|
 |
|
| |
Discussione  |
|
|
|
Natura Mediterraneo |
© 2003-2024 Natura Mediterraneo |
 |
|
Leps.it | Herp.it | Lynkos.net
|