|
|
|
|
|
Galleria Tassonomica di
Natura Mediterraneo
|
|
|
| Autore |
Discussione  |
|
|
gippo
Utente Senior
   
Città: Thiesi
Prov.: Sassari
Regione: Sardegna
636 Messaggi Tutti i Forum |
|
|
Guido Gherlenda
Utente Senior
   

Città: Oderzo
Prov.: Treviso
Regione: Veneto
2066 Messaggi Tutti i Forum |
Inserito il - 14 ottobre 2013 : 12:24:00
|
Non sono il più adatto a rispondere ma credo che focheggiando un diaframma in una posizione diversa da quanto calcolato non rispetti il sistema di Kohler, la proiezione della sorgente luminosa non viene modificata e quindi avrai a fuoco il diaframma ma non contemporaneamente questa.
Almeno così mi sembra |
Guido Gherlenda 45°46'38.85"N 12°28'59.46"E |
Modificato da - Guido Gherlenda in data 14 ottobre 2013 12:26:12 |
 |
|
|
geppe
Moderatore
    

Città: lesmo
Prov.: Milano
Regione: Lombardia
5420 Messaggi Tutti i Forum |
Inserito il - 14 ottobre 2013 : 13:01:26
|
| Messaggio originario di G55:
Non sono il più adatto a rispondere ma credo che focheggiando un diaframma in una posizione diversa da quanto calcolato non rispetti il sistema di Kohler, la proiezione della sorgente luminosa non viene modificata e quindi avrai a fuoco il diaframma ma non contemporaneamente questa.
Almeno così mi sembra
|
esatto, dovresti anche trovare un'altra posizione per l'illuminatore 
il tuo è fisso ?
|
Giuseppe
|
 |
|
|
gippo
Utente Senior
   
Città: Thiesi
Prov.: Sassari
Regione: Sardegna
636 Messaggi Tutti i Forum |
Inserito il - 14 ottobre 2013 : 14:31:35
|
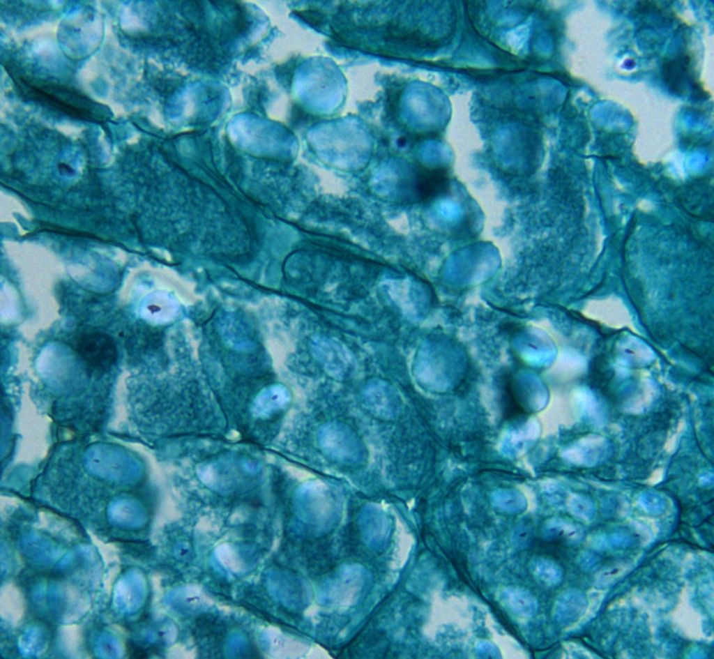
Infatti,se in oculare la cosa non è avvertibile lo è all'acquisizione via camera,c'è infatti una perdita di dettaglio e non indifferente, e una meno avvertibile sfocatura ai bordi dell'immagine. BOCCIATO!
con diaframma secondo Kohler Immagine:
152,89 KB
con diaframma esterno Immagine:
152,21 KB |
Chi si accontenta gode...e sono c...occi suoi! |
Modificato da - gippo in data 14 ottobre 2013 14:38:49 |
 |
|
|
gippo
Utente Senior
   
Città: Thiesi
Prov.: Sassari
Regione: Sardegna
636 Messaggi Tutti i Forum |
Inserito il - 14 ottobre 2013 : 14:33:47
|
| Messaggio originario di geppe:
| Messaggio originario di G55:
Non sono il più adatto a rispondere ma credo che focheggiando un diaframma in una posizione diversa da quanto calcolato non rispetti il sistema di Kohler, la proiezione della sorgente luminosa non viene modificata e quindi avrai a fuoco il diaframma ma non contemporaneamente questa.
Almeno così mi sembra
|
esatto, dovresti anche trovare un'altra posizione per l'illuminatore 
il tuo è fisso ?
|
Si è fisso nel senso che lo posso solo arretrare,il che fa sparire anche senza filtri l'immagine a croce,solo che si chiude il campo in oculare e camera. |
Chi si accontenta gode...e sono c...occi suoi! |
 |
|
|
sapiens
Utente Senior
   
Città: valeggio sul mincio VR
1344 Messaggi Tutti i Forum |
Inserito il - 14 ottobre 2013 : 17:22:56
|
A me sembrava migliore la seconda
Sarà perchè risulta meno ingrandita e non di poco.....
 |
La vita non è un gran che ma è sempre meglio di quella dei protozoi (e delle api) Link |
Modificato da - sapiens in data 14 ottobre 2013 17:24:19 |
 |
|
|
gippo
Utente Senior
   
Città: Thiesi
Prov.: Sassari
Regione: Sardegna
636 Messaggi Tutti i Forum |
Inserito il - 14 ottobre 2013 : 19:18:41
|
| Messaggio originario di sapiens:
A me sembrava migliore la seconda
Sarà perchè risulta meno ingrandita e non di poco.....

|
mmmhh! guarda la granulosità del citoplasma delle cellule e la parte più centrale dei granuli di amido quella scura...a mè sembrano molto meno definiti...sul ritaglio ci sono andato a occhiometro scusate...per la cronaca si tratta di una sezione di pisello...e non malignate -Pisum sativum-
e comunque hai ragione è come se non fosse uniforme come focalizzazione...eccheccavolo???? |
Chi si accontenta gode...e sono c...occi suoi! |
Modificato da - gippo in data 14 ottobre 2013 19:20:21 |
 |
|
| |
Discussione  |
|
|
|
Natura Mediterraneo |
© 2003-2024 Natura Mediterraneo |
 |
|
Leps.it | Herp.it | Lynkos.net
|