testata Forum Natura Mediterraneo
Forum | Registrati | Msg attivi | Msg Recenti | Msg Pvt | Utenti | Galleria | Map | Gadgets | Cerca | | FAQ | Regole |NUOVA Tassonomia | Pagina Facebook di Natura Mediterraneo | Google+
Suggerimento: L'iscrizione al nostro Forum è gratuita e permette di accedere a tutte le discussioni.
Cerca
Salva
Password dimenticata

 Galleria Tassonomica
 di Natura Mediterraneo
 



 Tutti i Forum
 Forum Protisti e Microinvertebrati
 PROTISTI: DISCUSSIONI GENERALI E FOTOGRAFIE DA DETERMINARE
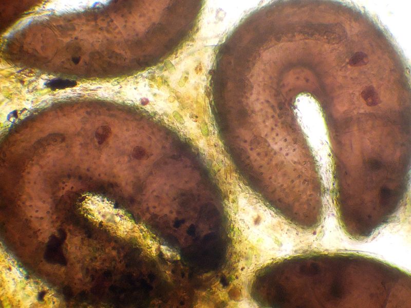
 LARVE DI CHIRONOMIDE
 Nuova Discussione
 Versione Stampabile my nm Leggi più tardi
I seguenti utenti stanno leggendo questo Forum Qui c'è:
Autore Discussione Precedente Discussione Discussione Successiva  

tecameba
Utente Senior


Città: montecatini terme
Prov.: Pistoia

Regione: Toscana


903 Messaggi
Tutti i Forum

Inserito il - 22 aprile 2013 : 10:49:19 Mostra Profilo  Apri la Finestra di Tassonomia

Suppongo debba trattarsi di larve di Chironomide o no?!?!

Immagine:
LARVE DI CHIRONOMIDE
76,27 KB
Immagine:
LARVE DI CHIRONOMIDE
70,48 KB
Immagine:
LARVE DI CHIRONOMIDE
85,66 KB
Immagine:
LARVE DI CHIRONOMIDE
60,02 KB

Franco
Link






Modificato da - geppe in Data 18 giugno 2013 21:33:41
  Discussione Precedente Discussione Discussione Successiva  
 Nuova Discussione
 Versione Stampabile my nm Leggi più tardi
Scorciatoia






Natura Mediterraneo © 2003-2024 Natura Mediterraneo Torna all'inizio della Pagina
Questa pagina è stata generata in 0,32 secondi. TargatoNA.it | Movie BackStage | Snitz Forums 2000

Leps.it | Herp.it | Lynkos.net