| Autore |
Discussione  |
|
danielademon
Utente V.I.P.
  
Città: Moio Alcantara
Prov.: Messina
Regione: Sicilia
276 Messaggi Flora e Fauna |
|
|
Christiano
Utente Senior
   
Città: Rixensart
Prov.: Estero
Regione: Belgium
1306 Messaggi Flora e Fauna |
Inserito il - 09 novembre 2012 : 12:07:31
|
Ciao Daniela,
Restiamo circospetti con queste lichene. Ecco le mie ipotesi che metto alla prova. Le escrescenze nere che si indovina sulla foto potrebbero essere i conodiofore delle pycnidi ciò che farebbe pensare a Reichlingua leopoldii Si potrebbe immaginare anche un giovane Cystocoleus ebeneus ma questa specie silicicosa cresce piuttosto vicino ai fiumi. O ancora a Micarea botryoides ma quando si trova su rocce le sue picnidi sono immerse mentre qui non e il caso... Polychidium muscicole giovane senza apoteci sarebbe anche un altre ipotsi...Spaciente, queste foto non mi permettono di dire ne più se non che ho une preferanza per Reichlingua leopoldii.
A presto.
Christiano
|
|
 |
|
|
danielademon
Utente V.I.P.
  
Città: Moio Alcantara
Prov.: Messina
Regione: Sicilia
276 Messaggi Flora e Fauna |
Inserito il - 09 novembre 2012 : 16:06:06
|
Allora intanto ti ringrazio per averci provato! cominciamo con Reichlingua leopoldii non trovo foto e informazioni su Google quindi non riesco a farmene un'idea. poi: Cystocoleus ebeneus ha come alga partner Trentepohlia e non è il mio caso poi:Polychidium muscicola ci avevo pensato ma ha più portamento fruticoso ed è decisamente più grande. poi:Micarea botryoides non è lei Insomma è un dilemma dovrei vedere se all'università c'è uno stereo più potente e con macchina fotogr. incorporata. Posso postare lunedì una foto del tallo al micro e se c'è lo stereo più potente altre foto. Lo capisco da foto è molto difficile, posso aggiungere che mi è sembrato che "questi isidi coralloidi" partissero da un piccolo tallo appiattito come un lobetto rotondeggiante.mah Aspetto altre nuove e ancora grazie |
dany |
 |
|
|
Christiano
Utente Senior
   
Città: Rixensart
Prov.: Estero
Regione: Belgium
1306 Messaggi Flora e Fauna |
Inserito il - 09 novembre 2012 : 16:52:23
|
Ecco una foto di Reichlingia leopoldii (vedo che ho fatto un errore di battitura nel nome). Scusa per la cattiva qualità.
Christiano
Immagine:
95,32 KB |
|
 |
|
|
Christiano
Utente Senior
   
Città: Rixensart
Prov.: Estero
Regione: Belgium
1306 Messaggi Flora e Fauna |
Inserito il - 09 novembre 2012 : 22:30:44
|
Ecco.
Immagine:
95,26 KB
Christiano |
|
 |
|
|
danielademon
Utente V.I.P.
  
Città: Moio Alcantara
Prov.: Messina
Regione: Sicilia
276 Messaggi Flora e Fauna |
Inserito il - 10 novembre 2012 : 16:36:01
|
Sai cosa...che potrebbe somigliarci ma così da "lontano" capisci che c'è qualcosa a forma di "cuscinetto! e pensi che è un lichene. Quello che io ho raccolto era solo da "lontano" una macchiolina nera che per curiosità ho pensato: poi la vedo allo stero e così ho scoperto fosse un cianolichene!!! E' come se invece di vedere un Leptogium macroscopicamente e poi vedere allo stereo che ha isidi, in questo allo stereo a mala pena vedi che ci sono delle cose che sembrano isidi. spero di essermi spiegata! ti ringrazio per l'aiuto perchè la curiosità mi uccide e mi piacerebbe che anche altri provassero a suggerire qualcosa. :-(
|
dany |
 |
|
|
danielademon
Utente V.I.P.
  
Città: Moio Alcantara
Prov.: Messina
Regione: Sicilia
276 Messaggi Flora e Fauna |
Inserito il - 12 novembre 2012 : 15:45:13
|
Immagine:
107,26 KB Immagine:
108,83 KB |
dany |
 |
|
|
danielademon
Utente V.I.P.
  
Città: Moio Alcantara
Prov.: Messina
Regione: Sicilia
276 Messaggi Flora e Fauna |
Inserito il - 12 novembre 2012 : 15:50:43
|
Dopo di che non so davvero cosa altro posso fare per aiutarCI a scoprire di chi si tratta!! Aspetto buone nuove dai LICOAMICI!
Immagine:
82,7 KB Immagine:
200,41 KB Immagine:
110,57 KB |
dany |
 |
|
|
Poli
Moderatore
  
Città: Genova
321 Messaggi Tutti i Forum |
Inserito il - 13 novembre 2012 : 18:24:13
|
... anch'io di primo impatto avevo pensato al Cystocoleus. se fosse su corteccia ti direi un Leptogium di quelli molto molto piccoli (es. L. microscopicum). Ora non ricordo se c'è anche qualche specie terricola, ma non credo |
_________________________________________________________________________________________________________________ La Società Lichenologica Italiana (SLI) è una società scientifica dedicata alla diffusione e al progresso degli studi lichenologici in Italia. Veniteci a trovare! Link |
 |
|
|
danielademon
Utente V.I.P.
  
Città: Moio Alcantara
Prov.: Messina
Regione: Sicilia
276 Messaggi Flora e Fauna |
Inserito il - 14 novembre 2012 : 15:39:39
|
Ciao Paolo!!! Sono Daniela (sicilia)corso ARPAT ci sei? Aiutamiiiiii! Se vuoi posso mandartelo se pensi sia interessante. Io arrivo a Leptogium (corticicoli) e anche non esistenti in Sicilia :-( aspetto tue nuove! Dani |
dany |
 |
|
|
PUNTILLO
Utente Senior
   
Città: Montalto Uffugo
Prov.: Cosenza
Regione: Calabria
1328 Messaggi Tutti i Forum |
Inserito il - 14 novembre 2012 : 17:16:05
|
Mi ricorda tantissimo Pyrenopsis triptococca (se hai il mio libro I Licheni di Calabria puoi vedere la figura dove sono presenti anche apoteci). Altrimenti ti posto una foto. Vale!
|
|
 |
|
|
danielademon
Utente V.I.P.
  
Città: Moio Alcantara
Prov.: Messina
Regione: Sicilia
276 Messaggi Flora e Fauna |
Inserito il - 14 novembre 2012 : 20:30:03
|
Grazie Prof. ma fosse questo non è segnalato in Sicilia quindi bisognerebbe indagare!comunque no purtroppo non ho il suo libro può mandarmi la foto allora! grazie ancora c'è da ragionarci :-) |
dany |
 |
|
|
Christiano
Utente Senior
   
Città: Rixensart
Prov.: Estero
Regione: Belgium
1306 Messaggi Flora e Fauna |
Inserito il - 15 novembre 2012 : 10:45:44
|
Delle nuove investigazioni mi orientano verso Lichinodium sirosiphoideum un cianolichen che cresce su rocce calcaree e basaltiche. Dispone di molto piccoli lobi sottili come quelli che si vede su una delle foto...Non è signalato su italic ma forse hai fatto una bella scoperta ? ...
Christiano
|
|
Modificato da - Christiano in data 15 novembre 2012 10:46:46 |
 |
|
|
danielademon
Utente V.I.P.
  
Città: Moio Alcantara
Prov.: Messina
Regione: Sicilia
276 Messaggi Flora e Fauna |
Inserito il - 15 novembre 2012 : 12:16:45
|
| Christiano davvero grazie c'è da ragionare a lungo!! |
dany |
 |
|
|
PUNTILLO
Utente Senior
   
Città: Montalto Uffugo
Prov.: Cosenza
Regione: Calabria
1328 Messaggi Tutti i Forum |
Inserito il - 15 novembre 2012 : 16:54:03
|
Ecco la foto. Vale! Immagine:
136,76 KB |
|
 |
|
|
danielademon
Utente V.I.P.
  
Città: Moio Alcantara
Prov.: Messina
Regione: Sicilia
276 Messaggi Flora e Fauna |
Inserito il - 16 novembre 2012 : 16:17:58
|
Grazie Prof.
|
dany |
 |
|
|
Christiano
Utente Senior
   
Città: Rixensart
Prov.: Estero
Regione: Belgium
1306 Messaggi Flora e Fauna |
Inserito il - 16 novembre 2012 : 21:08:24
|
Ciò diventa appassionante, più avanciamo più il misterio sembre prendere del campo ... Quale sono i caratteri che vi fanno pensare Pr.che Pyrenopsis triptococca corrispponda all'esemplare di Daniela ?
Ecco una foto di Lichinodium sirosiphoideum. Sebbene sia lontano da essere categorico, trovo che fino alla prossima scoperta di elementi significativi, i piccoli lobi spilacciati di questo lichene l'avvinciniano abbastanza d'il nostro misterioso campione.
A seguire.
Christiano
Immagine:
171,65 KB |
|
 |
|
|
PUNTILLO
Utente Senior
   
Città: Montalto Uffugo
Prov.: Cosenza
Regione: Calabria
1328 Messaggi Tutti i Forum |
Inserito il - 17 novembre 2012 : 11:49:24
|
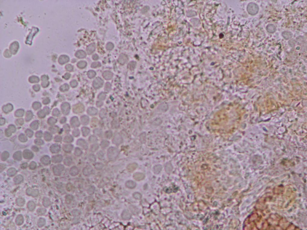
Mi riferivo all'immagine di Cristiano che di più somiglia a Pyrenopsis triptococca che cresce su substrati litici acidi. Ritorniamo alla foto di Danielademon. Si tratta certo di un Cianolichene e il Prof. Nimis ha visto abbastanza bene poiché si vede in una delle foto un pseudocortex. Non vedo bene però le alghe che dovrebbe essere avvolte da una guaina gelatinosa. Prova a fare una sezione di quelli che sembrerebbero Isidi o una parte del tallo. Così possiamo azzardare un nome più veritiero. Vale. |
|
 |
|
|
Christiano
Utente Senior
   
Città: Rixensart
Prov.: Estero
Regione: Belgium
1306 Messaggi Flora e Fauna |
Inserito il - 17 novembre 2012 : 18:08:11
|
| Messaggio originario di PUNTILLO:
Mi riferivo all'immagine di Cristiano che di più somiglia a Pyrenopsis triptococca che cresce su substrati litici acidi. Vale.
|
Ecco una vista più prossima di Lichinodium sirosiphoideum dove vediamo meglio i lobi sottile (come quelli che vediamo sulla foto avvicinata di Daniela). Pyrenopsis triptococca non sembra presentare una tale struttura del meno su la foto di Pr.Puntillo ? ... Non ho avuto mai l'opprotunità di incontrare Lichinodium nel suo ambiente naturale, le mie foto provengono del sito "Discover Life". Mi sembra affidabile ma preferisco lasciare al Pr.la cura di giudicarne. A presto.
Christiano
Immagine:
190,17 KB |
|
 |
|
|
danielademon
Utente V.I.P.
  
Città: Moio Alcantara
Prov.: Messina
Regione: Sicilia
276 Messaggi Flora e Fauna |
Inserito il - 19 novembre 2012 : 15:00:27
|
Gentile Prof. domani cercherò di fare una sezione migliore in modo da poter riconoscere meglio...quello che può tornarci utile!! grazie a TUTTI!!! |
dany |
 |
|
|
danielademon
Utente V.I.P.
  
Città: Moio Alcantara
Prov.: Messina
Regione: Sicilia
276 Messaggi Flora e Fauna |
Inserito il - 20 novembre 2012 : 14:56:08
|
ecco qui delle nuove foto che però mostrano quanto già visto secondo me e che cioè si tratta di un Leptogium certo definire quale è un problema Immagine:
42,91 KB Immagine:
97,7 KB Immagine:
118,3 KB Immagine:
99,18 KB Immagine:
116,29 KB |
dany |
 |
|
Discussione  |
|