| Autore |
Discussione  |
|
|
Sirente
Moderatore
    
 Città: Gilly ( Belgio) - - - Castel di Ieri (Italia)
Prov.: L'Aquila
Regione: Abruzzo
7200 Messaggi Tutti i Forum |
|
|
giannetto
Utente V.I.P.
  

Città: trento
Prov.: Trento
Regione: Trentino - Alto Adige
152 Messaggi Micologia |
Inserito il - 06 giugno 2006 : 08:45:49
|
| Messaggio originario di sirente:
Era da solo .... cosa potrebbe essere ..... Mario
Immagine:
241,15 KB
|
ciao.... peziza sp. Giannetto |
 |
|
|
Batman
Moderatore
   

Città: Arezzo
Prov.: Arezzo
Regione: Toscana
3594 Messaggi Micologia |
Inserito il - 06 giugno 2006 : 08:50:20
|
Ciao, habitus da Tarzetta, forse catinus. Batman |
 |
|
|
DRAKE
Utente Senior
   

Città: CESANO BOSCONE
Prov.: Milano
Regione: Lombardia
1478 Messaggi Tutti i Forum |
Inserito il - 06 giugno 2006 : 13:00:10
|
Anche per me e' una Tarzetta catinus (Korf & Rogers)
ciao
DRAKE |
 |
|
|
giannetto
Utente V.I.P.
  

Città: trento
Prov.: Trento
Regione: Trentino - Alto Adige
152 Messaggi Micologia |
Inserito il - 06 giugno 2006 : 20:23:06
|
[quote]Messaggio originario di DRAKE:
Anche per me e' una Tarzetta catinus (Korf & Rogers)
ciao
DRAKE
Ciao da cosa lo deducete?Dall'orlo seghettato ,dal colore dall'habitat?
Giannetto |
 |
|
|
Sirente
Moderatore
    

Città: Gilly ( Belgio) - - - Castel di Ieri (Italia)
Prov.: L'Aquila
Regione: Abruzzo
7200 Messaggi Tutti i Forum |
Inserito il - 06 giugno 2006 : 21:49:13
|
Anche per me sembra essere Tarzetta catinus , ecco altre foto ...niente liquido alla rottura , sotto betula ... devo vedere con la micro...se si verifica !!!... Mario
Immagine:
231,96 KB
Immagine:
247,42 KB |
 |
|
|
Sirente
Moderatore
    

Città: Gilly ( Belgio) - - - Castel di Ieri (Italia)
Prov.: L'Aquila
Regione: Abruzzo
7200 Messaggi Tutti i Forum |
Inserito il - 06 giugno 2006 : 23:12:38
|
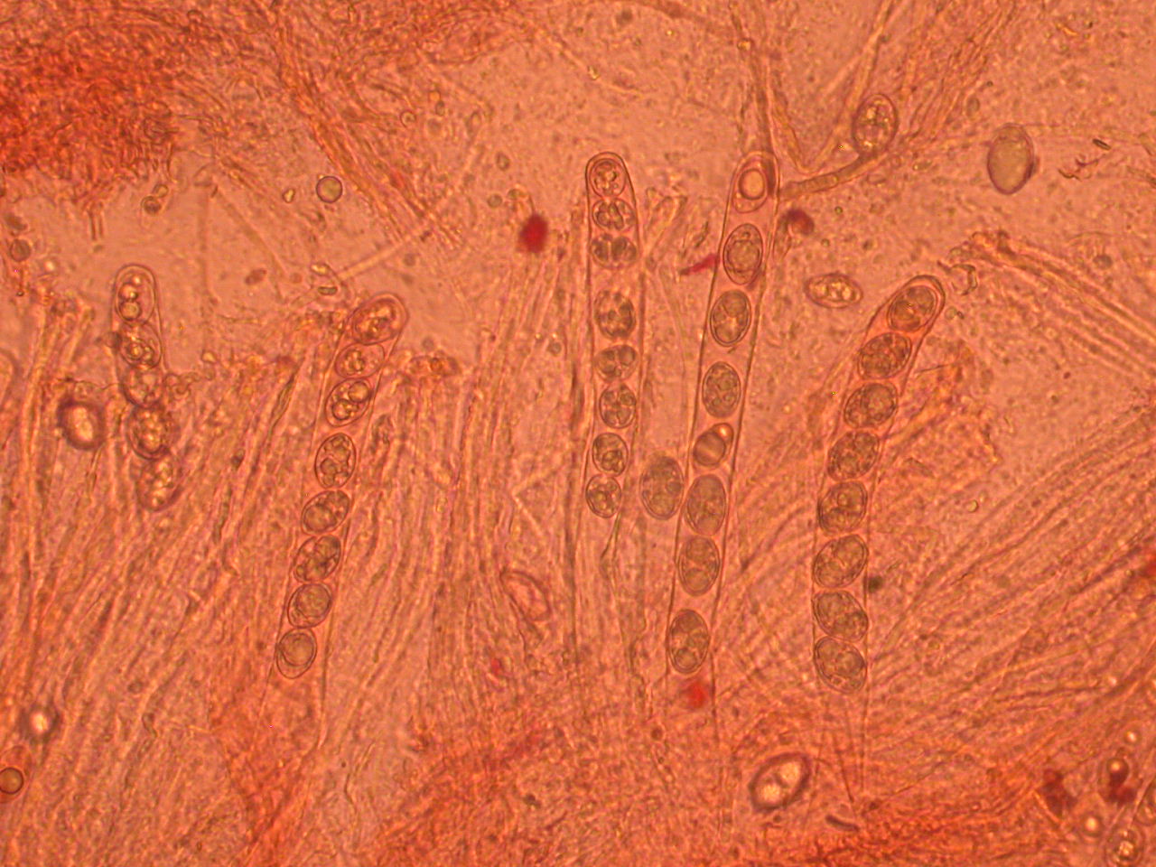
Due foto di micro....
Immagine:
280,91 KB
Immagine:
271,24 KB |
 |
|
|
Sirente
Moderatore
    

Città: Gilly ( Belgio) - - - Castel di Ieri (Italia)
Prov.: L'Aquila
Regione: Abruzzo
7200 Messaggi Tutti i Forum |
Inserito il - 06 giugno 2006 : 23:20:25
|
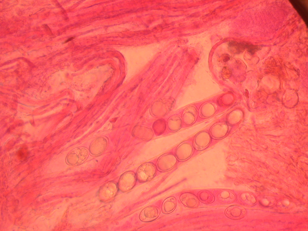
Altra foto...
Immagine:
279,72 KB |
 |
|
|
Enzo Musumeci
Utente Super
    

Città: Basilea
Regione: Switzerland
8641 Messaggi Micologia |
Inserito il - 07 giugno 2006 : 19:54:18
|
Ciao Mario
direi senzaltro Tarzetta catinus (Holmsk.) Korf & J.K. Rogers
Ciao a presto
Enzo Musumeci
|
 |
|
| |
Discussione  |
|