|
|
|
|
|
Galleria Tassonomica di
Natura Mediterraneo
|
|
|
| Autore |
Discussione  |
|
|
salvia
Utente Senior
   
Città: Tirano
Prov.: Sondrio
Regione: Lombardia
734 Messaggi Tutti i Forum |
|
|
salvia
Utente Senior
   
Città: Tirano
Prov.: Sondrio
Regione: Lombardia
734 Messaggi Tutti i Forum |
Inserito il - 07 ottobre 2010 : 22:39:34
|
Immagine n° 2 Immagine:
222,35 KB |
 |
|
|
salvia
Utente Senior
   
Città: Tirano
Prov.: Sondrio
Regione: Lombardia
734 Messaggi Tutti i Forum |
Inserito il - 07 ottobre 2010 : 22:40:25
|
Immagine n° 3 Immagine:
251,86 KB |
 |
|
|
salvia
Utente Senior
   
Città: Tirano
Prov.: Sondrio
Regione: Lombardia
734 Messaggi Tutti i Forum |
Inserito il - 07 ottobre 2010 : 22:41:18
|
Tentativi di micro Immagine:
114,35 KB |
 |
|
|
salvia
Utente Senior
   
Città: Tirano
Prov.: Sondrio
Regione: Lombardia
734 Messaggi Tutti i Forum |
Inserito il - 07 ottobre 2010 : 22:42:18
|
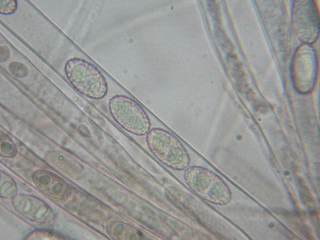
Aschi con 8 spore, non amiloidi Immagine:
204,52 KB |
 |
|
|
salvia
Utente Senior
   
Città: Tirano
Prov.: Sondrio
Regione: Lombardia
734 Messaggi Tutti i Forum |
Inserito il - 07 ottobre 2010 : 22:43:40
|
Spore con fini decorazioni Immagine:
152,69 KB |
 |
|
|
salvia
Utente Senior
   
Città: Tirano
Prov.: Sondrio
Regione: Lombardia
734 Messaggi Tutti i Forum |
Inserito il - 07 ottobre 2010 : 22:44:39
|
Spore con blu cotone Immagine:
176,33 KB |
 |
|
|
salvia
Utente Senior
   
Città: Tirano
Prov.: Sondrio
Regione: Lombardia
734 Messaggi Tutti i Forum |
Inserito il - 07 ottobre 2010 : 22:45:58
|
Ultima con aschi e parafisi, queste ultime spesso più lunghe degli aschi
Ciao e grazie Immagine:
125,25 KB Silvia |
 |
|
|
Sirente
Moderatore
    

Città: Gilly ( Belgio) - - - Castel di Ieri (Italia)
Prov.: L'Aquila
Regione: Abruzzo
7200 Messaggi Tutti i Forum |
Inserito il - 07 ottobre 2010 : 22:55:13
|
vedi con il genere Sowerbyella ... forse S.radiculata !!! per le parafisi inclinate
Mario
Sowerbyella radiculata
101,06 KB
Sowerbyella radiculata
104,43 KB
Ego Sum Pauper... Nihil Habeo et Omnia Dabo
|
 |
|
| |
Discussione  |
|
|
|
Natura Mediterraneo |
© 2003-2024 Natura Mediterraneo |
 |
|
Leps.it | Herp.it | Lynkos.net
|