|
|
|
|
|
Galleria Tassonomica di
Natura Mediterraneo
|
ATTENZIONE! Le indicazioni o considerazioni sulla commestibilità o tossicità dei funghi contenute nelle Sezioni del Forum non devono in alcun modo incoraggiare Frequentatori e Utenti al consumo indiscriminato di funghi selvatici. Per tali esigenze la Legge nazionale ha istituito gli Ispettorati Micologici presso le ASL. Allo stato attuale, gli Ispettorati Micologici sono le uniche strutture in Italia in grado di procedere al riconoscimento dei funghi selvatici ed alla relativa attestazione di commestibilità, previa esame gratuito (cernita ispettiva) delle raccolte richiesto dal cittadino. Le finalità del Forum di Micologia, in sintonia con gli scopi di NaturaMediterraneo, riguardano lo studio, l’approfondimento, la valorizzazione e la divulgazione, anche per finalità di tutela, del Regno Funghi. Si declina pertanto qualunque responsabilità, sia penale che civile, derivante dall’inosservanza di questa avvertenza.
|
|
| Autore |
Discussione  |
|
|
Sirente
Moderatore
    
 Città: Gilly ( Belgio) - - - Castel di Ieri (Italia)
Prov.: L'Aquila
Regione: Abruzzo
7200 Messaggi Tutti i Forum |
|
|
Ulderico
Utente Senior
   
Città: Viano
Prov.: Reggio Emilia
Regione: Emilia Romagna
2815 Messaggi Tutti i Forum |
Inserito il - 23 settembre 2010 : 08:38:21
|
Cortinarius sp.
Ulderico Bonazzi |
 |
|
|
massimobabboni
Utente Senior
   
Città: FOLLONICA
1156 Messaggi Tutti i Forum |
Inserito il - 23 settembre 2010 : 09:28:25
|
A me assomiglia molto a Hygrophorus sp. Un saluto Massimo |
 |
|
|
ubi
Utente Senior
   
Città: popoli
Prov.: Pescara
Regione: Abruzzo
2139 Messaggi Micologia |
Inserito il - 23 settembre 2010 : 11:55:04
|
| Mi sembra una Sericeocybe, bisognerebbe controllare la carne alla sezione e anche l'odore. Cortinarius diosmus? C.hillieri? C.turgidus? Saluti Ubaldo |
 |
|
|
Sirente
Moderatore
    

Città: Gilly ( Belgio) - - - Castel di Ieri (Italia)
Prov.: L'Aquila
Regione: Abruzzo
7200 Messaggi Tutti i Forum |
Inserito il - 23 settembre 2010 : 12:05:10
|
| Messaggio originario di Ulderico:
Cortinarius sp.
Ulderico Bonazzi
|
Grazie Ubi
... si è un Cortinarius sp... per adesso
Mario
Ego Sum Pauper... Nihil Habeo et Omnia Dabo
|
 |
|
|
Sirente
Moderatore
    

Città: Gilly ( Belgio) - - - Castel di Ieri (Italia)
Prov.: L'Aquila
Regione: Abruzzo
7200 Messaggi Tutti i Forum |
Inserito il - 23 settembre 2010 : 12:08:48
|
| Messaggio originario di massimobabboni:
A me assomiglia molto a Hygrophorus sp. Un saluto Massimo
|
Forse , ma nella seconda foto si vede una bella cortina nel giovane esemplare di destra...
Grazie cmq
Mario
Ego Sum Pauper... Nihil Habeo et Omnia Dabo
|
 |
|
|
Sirente
Moderatore
    

Città: Gilly ( Belgio) - - - Castel di Ieri (Italia)
Prov.: L'Aquila
Regione: Abruzzo
7200 Messaggi Tutti i Forum |
Inserito il - 23 settembre 2010 : 12:39:26
|
| Messaggio originario di ubi:
Mi sembra una Sericeocybe, bisognerebbe controllare la carne alla sezione e anche l'odore. Cortinarius diosmus? C.hillieri? C.turgidus? Saluti Ubaldo
|
Merci UBI , verifico ogni proposta ...
C. diosmus ha 2 odori C. hillieri ha un odore di "mirabelle" C. turgidus ha il gambo piuttosto bianco 
>>> dò la mia impressione , ma senza nessuna pretesa.. penso che siamo più vicino a Cortinarius pseudosuillus , più vedo la descrizione nel libro n°8 p88 di André MARCHAND nella sua famosa raccolta "champignons du nord et du midi"
>>> personalmente non ho percepito un odore particolare , l'amico mio invece dice di terra , dunque niente di speciale... Ho provato la RC con il KOH , quasi nulla sul capello ed un pò grigiastra sulla carne del capello...
>>> TL4 negativo
Mario
RC con KOH
113,26 KB
RC con KOH
113,28 KB
Dimensioni
111,8 KB
Dimensioni
104,13 KB
Immagine:
126,84 KB
Ego Sum Pauper... Nihil Habeo et Omnia Dabo
|
 |
|
|
ubi
Utente Senior
   
Città: popoli
Prov.: Pescara
Regione: Abruzzo
2139 Messaggi Micologia |
Inserito il - 23 settembre 2010 : 13:52:02
|
Link Vedi se ti può essere utile. Ciao Ubaldo |
 |
|
|
Ernesto Marra
Moderatore
   

Città: Lamezia Terme
Prov.: Catanzaro
2909 Messaggi Micologia |
Inserito il - 23 settembre 2010 : 14:55:35
|
Anche io pensavo a Cortinarius aprinus.
Ernesto |
 |
|
|
Sirente
Moderatore
    

Città: Gilly ( Belgio) - - - Castel di Ieri (Italia)
Prov.: L'Aquila
Regione: Abruzzo
7200 Messaggi Tutti i Forum |
Inserito il - 24 settembre 2010 : 08:42:20
|
| Messaggio originario di ubi:
Link Vedi se ti può essere utile. Ciao Ubaldo
|
Grazie Ubi , l'avevo già visto...
Mario
Ego Sum Pauper... Nihil Habeo et Omnia Dabo
|
 |
|
|
Sirente
Moderatore
    

Città: Gilly ( Belgio) - - - Castel di Ieri (Italia)
Prov.: L'Aquila
Regione: Abruzzo
7200 Messaggi Tutti i Forum |
Inserito il - 24 settembre 2010 : 09:01:45
|
| Messaggio originario di Giget:
Anche io pensavo a Cortinarius aprinus.
Ernesto
|
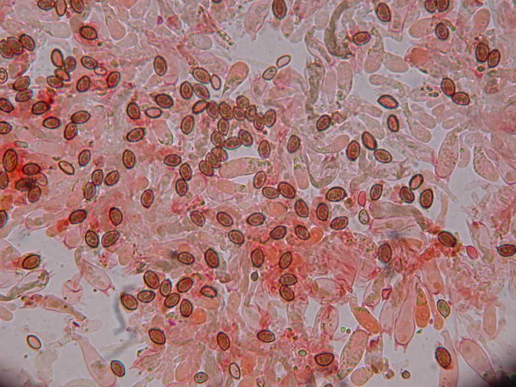
Non mi pronuncio ... a distanza di +/-15 giorni, torno sul posto oggi con un amico che ama studiare in particolare modo i Cortinarius...  speriamo bene nel ritrovarlo fresco ancora una volta..., perchè lui andrà in Germania questo WE per le giornate dei Cortinarius...dove ci saranno le "eminenze grigie"
Intando ieri ho rifatto la microscopia >>> da notare la presenza di numerose Basidi bisporici oltre le tetra...
Mario
Immagine:
130,91 KB
Baside
109,19 KB
Baside
95,65 KB
GAF
103,57 KB
GAF
90,23 KB
Spore
99,06 KB
x1000 in OIL
113,3 KB
x1000 in OIL
113,48 KB
Baside x1000 in OIL
104,91 KB
Ego Sum Pauper... Nihil Habeo et Omnia Dabo
|
 |
|
| |
Discussione  |
|
|
|
Natura Mediterraneo |
© 2003-2024 Natura Mediterraneo |
 |
|
Leps.it | Herp.it | Lynkos.net
|