| Autore |
Discussione  |
|
Fomes
Moderatore
    
Città: Prov. Milano
5273 Messaggi Tutti i Forum |
Inserito il - 04 marzo 2010 : 16:22:45
|
Ciao Vincenzo, niente male come prima analisi microscopica, non è sempre agevole la preparazione dei vetrini nelle Aphyllophorales . Le strutture che hanno reagito intensamente con la sulfovanillina e che presentano colorazione blu intensa sono i gloeocistidi, mentre come già scritto da Aphyllo nelle ultime immagini sono evidenti lamprocistidi senza incrostazioni. La misura delle spore è importantissima in questa categoria di funghi, ma anchio penso che questa raccolta sia ascrivibile a P.incarnata.
 Fomes |
 |
|
|
win67
Utente Senior
   
Città: bologna
Prov.: Bologna
Regione: Emilia Romagna
661 Messaggi Micologia |
Inserito il - 04 marzo 2010 : 20:25:44
|
@Marco: Sinceramente di gaf non ne ho visti molti ma per il semplice motivo che non ho visto molte ife, forse ero concentrato su altre strutture che era la prima volta che vedevo (lamprocistidi e gloeocistidi). Le due spore rientravano in questo range 8-12x3.4-5 µm che mi ero portato dietro come riferimento. La misura esatta non la ricordo. Il melzer sulle spore non l'ho provato anche perchè ne ho trovato solo 4 nel primo vetrino e basta, ma avevo usato reagenti diversi. Si alcune foto sono state ritratte col 40x. Cosa dovrei usare in generale come reagente per non far perdere le incrostazioni? Se martedì mi riportano il campione provo a vedere per i gaf e se trovo qualche altra spora magari in melzer.
@Renato: ho visto la tua microscopia su un altro sito di P.incarnata e l'ho paragonata alla mia......... Vabbè l'esperienza e la strumentazione sono indispensabili, ma piano piano migliorerò. Se riesco a trovare un po' di spore per la misurazione la prossima volta vi faccio sapere.
Grazie ad entrambi.
Vincenzo
|
 |
|
|
Aphyllo
Moderatore
    
Città: firenze
Prov.: Firenze
Regione: Toscana
9113 Messaggi Micologia |
Inserito il - 04 marzo 2010 : 22:02:43
|
| Cosa dovrei usare in generale come reagente per non far perdere le incrostazioni?
|
se devi identificare il carpoforo e non hai idea di cosa sia la cosa migliore è fare sezioni molto sottili e verticali di tutto il carpoforo, magari schiacciate con la punta di un ago (io uso un aculeo di istrice) in Melzer. Così con una prima osservazione puoi osservare i caratteri più importanti.
Di solito io faccio un preparato in acqua distillata e successivamente faccio filtrare sotto il coprioggetto il Melzer, così vedo bene le differenze di colorazioni. Il resto lo osservo in contrasto di fase e poi valuto se c'è bisogno di fare altri preparati con altri reagenti (sulfovanillina, KOH ecc.)
Attendiamo gli sviluppi per poter spostare questa discussione nel sub-forum "Aphyllophorales identificati"
Marco F. |
 |
|
|
mauretto
Moderatore
   

Città: pergine valsugana
Prov.: Trento
Regione: Trentino - Alto Adige
4540 Messaggi Micologia |
Inserito il - 04 marzo 2010 : 23:51:48
|
Lunedì consegno tesi e libretto(oggi fatto l'ultimo esame!! ), martedì oltre a portare lo spumante proverò a fare con te la micro di questo aphyllo, tanto ormai sono caduto nella trappola delle croste pure io... Gli elementi micro ancora non li so distinguere, però un poca di pratica nel preparare i vetrini l'ho acquisita quindi ci proveremo insieme.
A martedì  |
 |
|
|
Aphyllo
Moderatore
    
Città: firenze
Prov.: Firenze
Regione: Toscana
9113 Messaggi Micologia |
Inserito il - 05 marzo 2010 : 07:27:25
|
io attendo i risultati per mercoledì, buon lavoro!
Marco F. |
 |
|
|
win67
Utente Senior
   
Città: bologna
Prov.: Bologna
Regione: Emilia Romagna
661 Messaggi Micologia |
Inserito il - 09 marzo 2010 : 22:03:04
|
Come promesso ecco i risultati della seconda tornata di microscopia. I gaf come Marco aveva presunto ci sono, le spore sono leggermente più piccole, forse per come si era supposto per una loro non maturità, 6-7:4-4.5 e non amiloidi in melzer. Spora, foto non venuta bene, ma giusto per darne un'idea solo in ammoniaca 6%
Immagine:
51,23 KB |
 |
|
|
win67
Utente Senior
   
Città: bologna
Prov.: Bologna
Regione: Emilia Romagna
661 Messaggi Micologia |
Inserito il - 09 marzo 2010 : 22:09:08
|
Basidi Se notate quello più in basso sulla sinstra partendo dall'alto ha ancora una spora color floxina attaccata allo sterigma (Koh + floxina acquosa)
Immagine:
74,64 KB |
 |
|
|
win67
Utente Senior
   
Città: bologna
Prov.: Bologna
Regione: Emilia Romagna
661 Messaggi Micologia |
Inserito il - 09 marzo 2010 : 22:14:29
|
Lamprocistidi
Immagine:
76,89 KB |
 |
|
|
win67
Utente Senior
   
Città: bologna
Prov.: Bologna
Regione: Emilia Romagna
661 Messaggi Micologia |
Inserito il - 09 marzo 2010 : 22:17:11
|
Gloeocistidio 1
Immagine:
79,32 KB |
 |
|
|
win67
Utente Senior
   
Città: bologna
Prov.: Bologna
Regione: Emilia Romagna
661 Messaggi Micologia |
Inserito il - 09 marzo 2010 : 22:17:59
|
Gloeocistidio 2
Immagine:
70,98 KB |
 |
|
|
win67
Utente Senior
   
Città: bologna
Prov.: Bologna
Regione: Emilia Romagna
661 Messaggi Micologia |
Inserito il - 09 marzo 2010 : 22:24:20
|
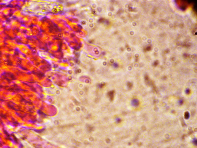
GAF
Il gaf non è subito visibile a colpo d'occhi visto le "ottime" fotografie, ma lo potete notare nell'ifa in alto a destra, obliqua, sempre color floxina, come un piccolo cerchietto al centro (visione frontale del gaf come anche da disegno del Breitenbach)
Immagine:
80,29 KB |
 |
|
|
win67
Utente Senior
   
Città: bologna
Prov.: Bologna
Regione: Emilia Romagna
661 Messaggi Micologia |
Inserito il - 09 marzo 2010 : 22:26:22
|
Altro basidio
Immagine:
63,84 KB |
 |
|
|
win67
Utente Senior
   
Città: bologna
Prov.: Bologna
Regione: Emilia Romagna
661 Messaggi Micologia |
Inserito il - 09 marzo 2010 : 22:29:22
|
Altre foto particolari 1
Immagine:
85,51 KB |
 |
|
|
win67
Utente Senior
   
Città: bologna
Prov.: Bologna
Regione: Emilia Romagna
661 Messaggi Micologia |
Inserito il - 09 marzo 2010 : 22:29:45
|
2
Immagine:
111,29 KB |
 |
|
|
win67
Utente Senior
   
Città: bologna
Prov.: Bologna
Regione: Emilia Romagna
661 Messaggi Micologia |
Inserito il - 09 marzo 2010 : 22:30:28
|
3
Immagine:
96,05 KB |
 |
|
|
win67
Utente Senior
   
Città: bologna
Prov.: Bologna
Regione: Emilia Romagna
661 Messaggi Micologia |
Inserito il - 09 marzo 2010 : 22:34:40
|
E con la vignettatura della foto da principiante ho finito. Naturalmente ringrazio Mauretto che con la sua competenza e bravura ha preparato un ottimo vetrino. Penso proprio che a questo punto si possa parlare di Peniophora incarnata. Subito dopo la smentita di quello che ho appena detto mi piacerebbe sapere anche se ho sbagliato qualche nome e se ci sono strutture alle quali non ho saputo dare loro determinazione. Grazie Vincenzo |
 |
|
|
Aphyllo
Moderatore
    
Città: firenze
Prov.: Firenze
Regione: Toscana
9113 Messaggi Micologia |
Inserito il - 09 marzo 2010 : 22:46:37
|
Ciao, complimenti per le analisi. Bisogna cercare di migliorare le tue foto di microscopia perchè potrebbe essere molto utile vederci chiaro e poter discutere dei tuoi vetrini immaginando il meno possibile.
Il giunto a fibbia (in alto a sinistra? non a destra!) lo avrai visto tu focheggiando e mi fido, ma di solito in questa specie è facile vederli, basta dare colpetti sul coprioggetto e tutte le strutture si distaccano.
Le spore sono un po' corte ma io in un altro ritrovamento le ho misurateaddiritura più corte:
Spore: Lungh. Largh. Q 1 N 8 2 Min 6.160 3.420 1.640 3 Media 6.572 3.654 1.801 4 Max 7.030 3.920 1.990 5 Varianz 0.095 0.036 0.016
Confermo la tua ipotesi: Peniophora incarnata
Marco F. |
 |
|
|
mauretto
Moderatore
   

Città: pergine valsugana
Prov.: Trento
Regione: Trentino - Alto Adige
4540 Messaggi Micologia |
Inserito il - 10 marzo 2010 : 00:07:04
|
Ciao a tutti. Dopo aver fatto il vetrino, ho avuto l'inaccortezza di non picchiettarlo, visto anche che non sapevo bene cosa mi aspettava e cosa avrei dovuto vedere. In effetti ho dovuto provare a fare una sezione un po' spessa, poichè con il grattage non si riuscivano a rilevare le ife. Il non aver compresso il preparato non ha evidentemente permesso una separazione delle strutture rendendo difficile la lettura. Come se non bastasse, l'aggiunta di fluxina è stata posticcia con il vetrino già in olio, ed ha colorato troppo. Questo giusto per rimarcare la mia "competenza e bravura" sottolineata da Vincenzo.  In ogni caso Vincenzo il mio unico scatto è sì molto colorato e saturo nei colori, ma non come le tue. Sembra che Jimi Hendrix si sia impossessato delle ottiche!!!!!!   Foto psichedeliche. Comunque, tornando alla micro, con un po' di fatica ed aiuto esterno abbiamo imparato e distinguere i gaf, che nelle poche ife isolate presenti nel preparato erano comunque ben visibili. I gleocistidi poi erano spettacolari, quelli nella foto "gleocistidio2" visti nel microscopio erano bellissimi. In ogni caso adesso abbiamo capito come lavorare sul campione, la prossima settimana cercheremo di scacciare il fantasma di Hendrix dalla macchinetta di Vincenzo ed anche io proverò a fare qualche scatto, stavolta con meno colorante nel fungo. Anche se un po' pasticcioni siamo pazienti e motivati.  |
 |
|
|
Aphyllo
Moderatore
    
Città: firenze
Prov.: Firenze
Regione: Toscana
9113 Messaggi Micologia |
Inserito il - 10 marzo 2010 : 07:49:37
|
| Dopo aver fatto il vetrino, ho avuto l'inaccortezza di non picchiettarlo, visto anche che non sapevo bene cosa mi aspettava e cosa avrei dovuto vedere. In effetti ho dovuto provare a fare una sezione un po' spessa, poichè con il grattage non si riuscivano a rilevare le ife.
|
In effetti la picchiettatura sul coprioggetti va fatta in un secondo momento perchè prima bisognerebbe osservare dove sono posizionate le varie strutture e la disposizione delle ife. Distaccare le strutture serve per osservarle separatamente ma la prima osservazione va fatta sulla sezione verticale che deve essere il più sottile possibile.
Ci vogliono anni per imparare bene ma i primi progressi si fanno subito, e vedrai che vi daranno soddisfazioni.
Io ho visto per la prima volta ieri sera in un preparato i famosi alocistidi...non li avevo mai trovati. Ho aggiunto un altro tassello alla mia conoscenza degli Aphyllophorales e sono andato a dormire felice...sono pazzo!
Marco F. |
 |
|
Discussione  |
|