testata Forum Natura Mediterraneo
Forum | Registrati | Msg attivi | Msg Recenti | Msg Pvt | Utenti | Galleria | Map | Gadgets | Cerca | | FAQ | Regole |NUOVA Tassonomia | Pagina Facebook di Natura Mediterraneo | Google+
Suggerimento: Leggi il nostro regolamento!! Clicca qui!
Cerca
Salva
Password dimenticata

 Galleria Tassonomica
 di Natura Mediterraneo
 



 Tutti i Forum
 Forum Protisti e Microinvertebrati
 PROTISTI: DISCUSSIONI GENERALI E FOTOGRAFIE DA DETERMINARE
 Presentazione.
 Nuova Discussione
 Versione Stampabile my nm Leggi più tardi
I seguenti utenti stanno leggendo questo Forum Qui c'è:
Autore Discussione Precedente Discussione Discussione Successiva  

Galosimo
Utente nuovo

Città: Villachiara
Prov.: Brescia

Regione: Lombardia


5 Messaggi
Tutti i Forum

Inserito il - 13 settembre 2018 : 07:42:08 Mostra Profilo  Apri la Finestra di Tassonomia

Ciao a tutti del Forum, mi chiamo Simone faccio da anni astronomia e mi sono appena cimentato in questo nuovo mondo, l'infinitamente Grande e l'infinitamente Piccolo!!!
Ho come inizio un microscopio Zeiss Axiostar che ho trovato a poco ma con un solo obbiettivo nativo il 10x cp acro. Ho poi dovuto comperare tutto il resto sulla baia, un set con un 4x-20x-60x-100x più a parte un plan 40x della stessa ditta ( quelli color nero economici si fa per dire),più un zeiss planacro da 40x. Mi sono munito di un portafiltri per il campo oscuro. Oggi ho fatto i primi tentativi con l'acqua dei sottovasi. Non è andata male ho visto qualcosa ma mi e passata un'ora a capire come funzionave sto campo oscuro, be alla fine ci sono riuscito ed il risultato è molto soddisfacente.
Scusate magari i termini ma devo ancora imparare tutto. Sono un neofita#128561;.

Galelli Simone:Z.Axiostar

marcopic
Moderatore


Città: Padova
Prov.: Padova

Regione: Veneto


1866 Messaggi
Flora e Fauna

Inserito il - 13 settembre 2018 : 11:56:45 Mostra Profilo Apri la Finestra di Tassonomia
Benvenuto Simone!!!
Non è la prima volta che mi capita di conoscere qualcuno con la doppia passione del "grandissimo" e del "piccolissimo". In effetti i campi sono diversi ma la tecnologia è molto simile.

Il passo successivo a queste prime esperienze in cui prendi dimestichezza con lo strumento è fare forografie per immortalare i numerosi e vari abitanti che popolano il microcosmo.

Buon lavoro!!!

Ciao
Marco
Torna all'inizio della Pagina

Galosimo
Utente nuovo

Città: Villachiara
Prov.: Brescia

Regione: Lombardia


5 Messaggi
Tutti i Forum

Inserito il - 13 settembre 2018 : 20:20:53 Mostra Profilo Apri la Finestra di Tassonomia
Grazie Marco. In astronomia sono un visualista ed uso un dobson da 60 cm un bestione, ma tornando al mindo microscopico penso di restare un visualista. Non mi prende molto l'idea di fotografare.

Galelli Simone:Z.Axiostar
Torna all'inizio della Pagina

mauro boller
Utente Senior

Città: treviso
Prov.: Treviso

Regione: Italy


518 Messaggi
Tutti i Forum

Inserito il - 14 settembre 2018 : 01:16:32 Mostra Profilo Apri la Finestra di Tassonomia
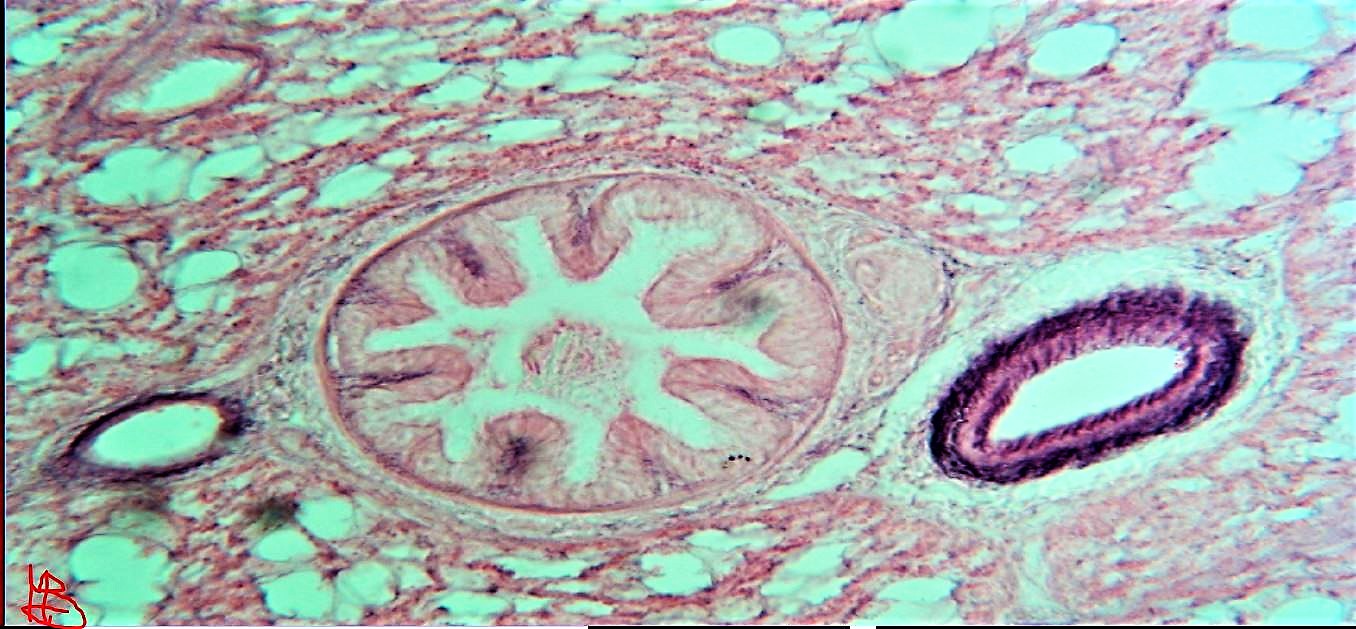
come giustamente dice Marcopic non c'è molta differenza dal piccolissimo al grandissimo perché tutto è relativo!!senza telescopio l'universo è piccolissimo e non si vede tal quale il micromondo che senza microscopio non si vede. non darti fretta per le opportunità ottiche del micro . inizia in campo chiaro! poi scuro. poi polarizzazione poi dic e avanti così. hai un buon micro! e appena Enotria ti leggerà saprà darti consigli!! ci sono molte pagine dedicate al "Micromondo" gironzola in web! la mia si chiama appunto "Micromondo" dove mi vanto ci siano microscopisti eccezionali! e anche qualche scienziato di fama. datti tempo!ben venuto in un mondo incredibile!!quella che ti posto è un immagine da un vetrino del 1905!! micro sezione di bronchiolo e capillare circa 700 x. divertiti.con pazienza!
Immagine:
Presentazione.
239,33 KB

Torna all'inizio della Pagina

Galosimo
Utente nuovo

Città: Villachiara
Prov.: Brescia

Regione: Lombardia


5 Messaggi
Tutti i Forum

Inserito il - 14 settembre 2018 : 07:25:58 Mostra Profilo Apri la Finestra di Tassonomia
Grazie Mauro, i consigli sono sempre i benvenuti.

Galelli Simone:Z.Axiostar
Torna all'inizio della Pagina

tecameba
Utente Senior


Città: montecatini terme
Prov.: Pistoia

Regione: Toscana


903 Messaggi
Tutti i Forum

Inserito il - 17 settembre 2018 : 12:19:31 Mostra Profilo Apri la Finestra di Tassonomia
Ben arrivato!!
Franco

Franco
Link





Torna all'inizio della Pagina

Galosimo
Utente nuovo

Città: Villachiara
Prov.: Brescia

Regione: Lombardia


5 Messaggi
Tutti i Forum

Inserito il - 18 settembre 2018 : 01:58:20 Mostra Profilo Apri la Finestra di Tassonomia
Grazie Franco

Galelli Simone:Z.Axiostar
Torna all'inizio della Pagina
  Discussione Precedente Discussione Discussione Successiva  
 Nuova Discussione
 Versione Stampabile my nm Leggi più tardi
Scorciatoia






Natura Mediterraneo © 2003-2024 Natura Mediterraneo Torna all'inizio della Pagina
Questa pagina è stata generata in 1,31 secondi. TargatoNA.it | Movie BackStage | Snitz Forums 2000

Leps.it | Herp.it | Lynkos.net