testata Forum Natura Mediterraneo
Forum | Registrati | Msg attivi | Msg Recenti | Msg Pvt | Utenti | Galleria | Map | Gadgets | Cerca | | FAQ | Regole |NUOVA Tassonomia | Pagina Facebook di Natura Mediterraneo | Google+
Suggerimento: Conosci la funzione scorciatoia? Clicca qui!
Cerca
Salva
Password dimenticata

 Galleria Tassonomica
 di Natura Mediterraneo
 



 Tutti i Forum
 Forum Protisti e Microinvertebrati
 PROTISTI: DISCUSSIONI GENERALI E FOTOGRAFIE DA DETERMINARE
 Centropyxis aculeata?
 Nuova Discussione
 Versione Stampabile my nm Leggi più tardi
I seguenti utenti stanno leggendo questo Forum Qui c'è:
Autore Discussione Precedente Discussione Discussione Successiva  

dany2000
Utente V.I.P.

Città: torino
Prov.: Torino

Regione: Piemonte


150 Messaggi
Tutti i Forum

Inserito il - 03 gennaio 2014 : 20:50:38 Mostra Profilo  Apri la Finestra di Tassonomia

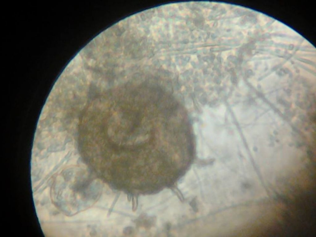
la mia intuizione e' giusta? soggetto trovato in coltura da mia tartarughiera
Immagine:
Centropyxis aculeata?
63,46 KB

dany2000
Utente V.I.P.

Città: torino
Prov.: Torino

Regione: Piemonte


150 Messaggi
Tutti i Forum

Inserito il - 03 gennaio 2014 : 20:51:27 Mostra Profilo Apri la Finestra di Tassonomia

Immagine:
Centropyxis aculeata?
63,42 KB

Torna all'inizio della Pagina

dany2000
Utente V.I.P.

Città: torino
Prov.: Torino

Regione: Piemonte


150 Messaggi
Tutti i Forum

Inserito il - 03 gennaio 2014 : 20:52:35 Mostra Profilo Apri la Finestra di Tassonomia

Immagine:
Centropyxis aculeata?
91,24 KB
fine,
dany.

Torna all'inizio della Pagina

Guido Gherlenda
Utente Senior


Città: Oderzo
Prov.: Treviso

Regione: Veneto


2066 Messaggi
Tutti i Forum

Inserito il - 03 gennaio 2014 : 21:18:42 Mostra Profilo Apri la Finestra di Tassonomia
Classificazione corretta.

Guido Gherlenda
45°46'38.85"N 12°28'59.46"E
Torna all'inizio della Pagina
  Discussione Precedente Discussione Discussione Successiva  
 Nuova Discussione
 Versione Stampabile my nm Leggi più tardi
Scorciatoia






Natura Mediterraneo © 2003-2024 Natura Mediterraneo Torna all'inizio della Pagina
Questa pagina è stata generata in 0,73 secondi. TargatoNA.it | Movie BackStage | Snitz Forums 2000

Leps.it | Herp.it | Lynkos.net