testata Forum Natura Mediterraneo
Forum | Registrati | Msg attivi | Msg Recenti | Msg Pvt | Utenti | Galleria | Map | Gadgets | Cerca | | FAQ | Regole |NUOVA Tassonomia | Pagina Facebook di Natura Mediterraneo | Google+
Suggerimento: Conosci la funzione scorciatoia? Clicca qui!
Cerca
Salva
Password dimenticata

 Galleria Tassonomica
 di Natura Mediterraneo
 



 Tutti i Forum
 Forum Protisti e Microinvertebrati
 PROTISTI: DISCUSSIONI GENERALI E FOTOGRAFIE DA DETERMINARE
 ematococco...?
 Nuova Discussione
 Versione Stampabile my nm Leggi più tardi
I seguenti utenti stanno leggendo questo Forum Qui c'è:
Autore Discussione Precedente Discussione Discussione Successiva  

pietro3310
Utente

Città: Roma
Prov.: Roma

Regione: Italy


20 Messaggi
Micologia

Inserito il - 07 aprile 2013 : 21:50:07 Mostra Profilo  Apri la Finestra di Tassonomia

salve a tutti.... ai me purtroppo sono un novellino non che un principiante nella microbiologia....
Immagine:
ematococco...?
35,76 KB
qualcuno potrebbe consigliarmi qualche testo che riporta immagini di batteri o microoganismi in generale...cosi da facilitare il loro riconoscimento al microscopio....?

...Pietro...

Guido Gherlenda
Utente Senior


Città: Oderzo
Prov.: Treviso

Regione: Veneto


2066 Messaggi
Tutti i Forum

Inserito il - 07 aprile 2013 : 23:45:47 Mostra Profilo Apri la Finestra di Tassonomia
Ematococco per certo.

Atlante dei microrganismi acquatici di Heinz Streble, Dieter Krauter - Franco Muzzio Editore. € 29.00

Molto utili anche i link che trovi in evidenza in questa sezione.

Guido Gherlenda
45°46'38.85"N 12°28'59.46"E
Torna all'inizio della Pagina

pietro3310
Utente

Città: Roma
Prov.: Roma

Regione: Italy


20 Messaggi
Micologia

Inserito il - 08 aprile 2013 : 01:33:25 Mostra Profilo Apri la Finestra di Tassonomia
Grazie G55 sei stato molto gentile..;) sia per la conferma sia per il testo....è un mondo fantastico....affascinante e misterioso.....ma magari tra testi e supporto da persone che ne sanno di più riuscirò a capire cosa e dove guardare.....;)

...Pietro...
Torna all'inizio della Pagina

Volvox
Utente Senior


Città: Pisa
Prov.: Pisa

Regione: Toscana


3685 Messaggi
Tutti i Forum

Inserito il - 08 aprile 2013 : 11:18:45 Mostra Profilo Apri la Finestra di Tassonomia
Pietro, così, tanto per avere un'idea generale:

Link

Volvox

"In natura, il ruolo dell'infinitamente piccolo è infinitamente grande" (Louis Pasteur)
Torna all'inizio della Pagina

pietro3310
Utente

Città: Roma
Prov.: Roma

Regione: Italy


20 Messaggi
Micologia

Inserito il - 08 aprile 2013 : 11:51:22 Mostra Profilo Apri la Finestra di Tassonomia
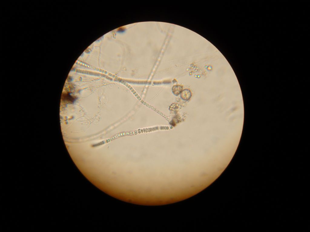
Ciao Volvox....Grazie un video fantastico dove ho ricosciuto gran parte ddella vita da me osservata nella mia pozza... grazie anche a te per il contenuto...spero un giorno di essere utitle anche io a questo forum...intanto allego una foto e vi chiedo: è una Spirillum volutans oppure Anabaena constricta....? in attesa che arrivi il libro... da voi consigliato....
Immagine:
ematococco...?
37,79 KB

...Pietro...
Torna all'inizio della Pagina
  Discussione Precedente Discussione Discussione Successiva  
 Nuova Discussione
 Versione Stampabile my nm Leggi più tardi
Scorciatoia






Natura Mediterraneo © 2003-2024 Natura Mediterraneo Torna all'inizio della Pagina
Questa pagina è stata generata in 1,07 secondi. TargatoNA.it | Movie BackStage | Snitz Forums 2000

Leps.it | Herp.it | Lynkos.net